Doctors at SLG Hospitals remove Black and White Fungus ball from Lungs to save life of a 60 years old man
Hyderabad, July 30th, 2021: Doctors at SLG Hospitals saved life of a 60-year-old man with damaged lung caused due to combination of ‘black and white funguses! This was the first reported case of ‘aspergilloma’ caused due to past Covid-19 infection, which otherwise occurs due to tuberculosis. While many black fungus cases are reported in the past mostly infecting nasal cavities, this is first of its kind health emergency caused due to black and white fungi infecting the lung.
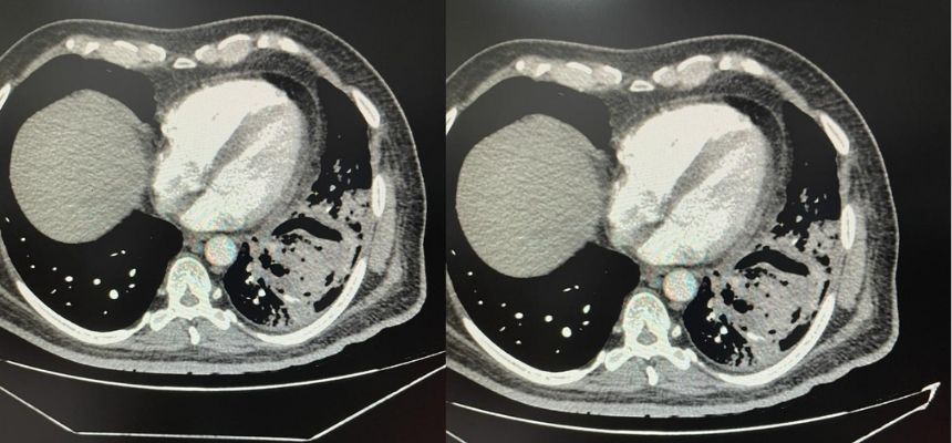
The patient, Mr. Rama Nageshwar Rao, was rushed to SLG Hospitals on 10th July, after he started coughing blood due to severe cough. CT scan revealed acute damage caused to the lower lobe of the left lung, along with a deep cavity in it. A presumptive diagnosis of the condition was the post-Covid lung damage or cavity in the lung due to past Covid-19 infection caused in the month of May this year.
Commenting on the condition and treatment administered, Dr. Vivek Babu Bojjawar, Consultant Cardiothoracic & Vascular Surgeon, SLG Hospitals said, “Aspergilloma is normally noticed among people with weak immune system. While this is commonly found among patients suffering with tuberculosis, finding it as an after-affect of Covid-19 infection is a first! This condition damages lungs, causes cavity, and could result in fatality at an advanced stage. Vomiting blood by Mr. Rao is an indication the spread of this virus is deep and necessitated an emergency surgery.”
“A lobectomy surgery was performed on the patient to remove the virus ball along with traces of damaged lung. This condition can be seen as medium to long term side-effect of Covid-19 infection, and such conditions must be traced and treated early before they develop into health emergencies necessitating surgical procedures,” added Dr. Vivek Babu.
With rise in coronavirus cases in the country, numerous cases of severe black fungus infection or mucormycotic infection, which has a high fatality rate. Black fungus infection itself was a declared endemic in certain States and regions in the country; and now this new ailment is a newer challenge to the healthcare machinery.
Disclaimer: Welthi.com does not guarantee any specific results as a result of the procedures mentioned here, and the results may vary from person to person.